Elsevier España
Update on diagnosis and treatment of aneurysmal subarachnoid hemorrhage: A literature review
Introduction Aneurysmal subarachnoid hemorrhage (aSAH) is a neurological emergency with high morbidity and mortality. Its timely management is crucial to improve the prognosis. This review analyzes diagnostic and therapeutic advances, with emphasis on the comparison […]
Deep brain stimulation in neuropsychiatric disorders: A systematic review
Introduction Deep brain stimulation (DBS) is a neurosurgical technique that modulates neural circuits through electrical impulses. Initially developed for motor disorders such as Parkinson’s disease, its use has expanded to neuropsychiatric conditions, including treatment-resistant schizophrenia, […]
Comparative study of infusion-related reactions to anti-CD20 drugs in neuroimmunological diseases of the central nervous system: a retrospective analysis of ocrelizumab and rituximab treatments
Introduction The anti-CD20 monoclonal antibodies, rituximab (RTX) and ocrelizumab (OCRE), are used routinely for the treatment of neuroimmunological diseases. However, infusion-related reactions (IRRs) are common, and their underlying mechanisms are not well defined. Objectives Our […]
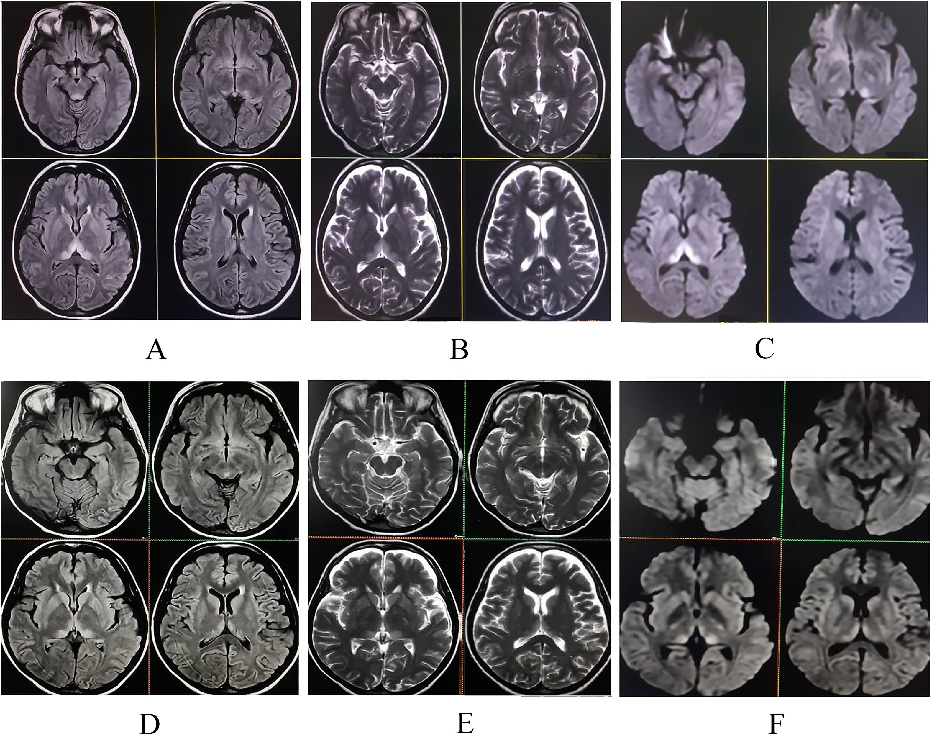
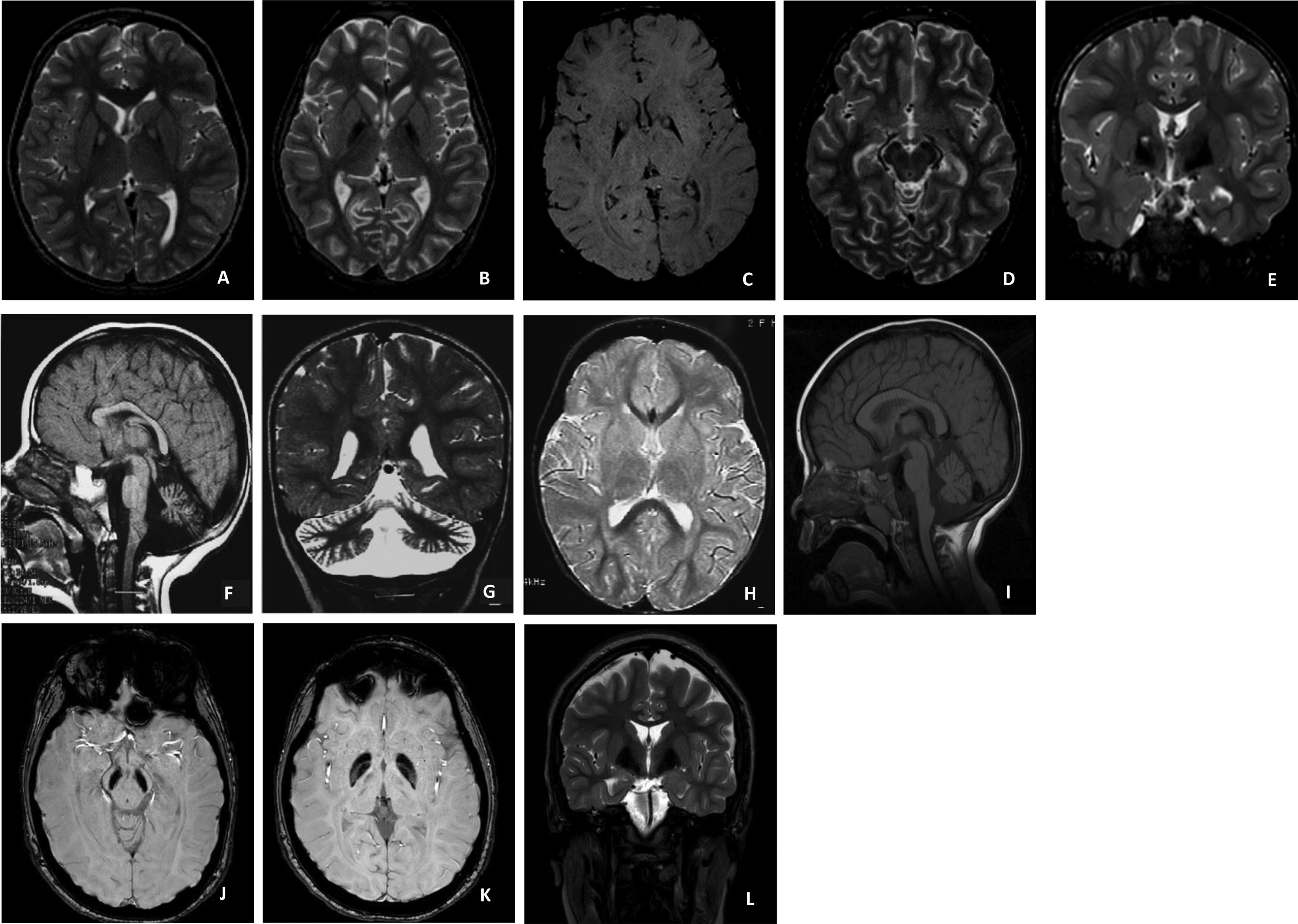
Neurodegeneration with brain iron accumulation: two decades of pediatric cases in a Portuguese Center
Background Neurodegeneration with brain iron accumulation (NBIA) comprises a group of rare and heterogeneous genetic disorders, in which early diagnosis can be challenging. Cases Retrospective review of clinical, neurophysiological, radiological, and molecular data from 18 […]
Diagnostic and therapeutic challenges in narcolepsy: From childhood to complex comorbidity through 3 clinical cases
Introduction Narcolepsy is a chronic neurological disorder characterized by excessive daytime sleepiness and abnormal rapid eye movement manifestations, such as cataplexy, sleep paralysis, and hypnagogic hallucinations. Symptoms usually begin in childhood or adolescence, and diagnosis […]
