Neurología
Recomendaciones para el diagnóstico, tratamiento y seguimiento de la enfermedad de Pompe de inicio tardío
La enfermedad de Pompe o glucogenosis tipo II es una enfermedad poco frecuente causada por mutaciones en el gen GAA que conduce a la deficiencia de la enzima alfa-1,4-glucosidasa ácida. Como resultado del defecto enzimático […]
Daytime dysfunction and SUDEP risk: Exploring the role of sleep and heart rate variability in epilepsy
Objective This study aimed to investigate the interrelationship between sleep disturbances, heart rate variability (HRV), and the risk of sudden unexpected death in epilepsy (SUDEP), with a focus on identifying novel risk factors related to […]
Protective effect of adult vaccination on the development of dementias: A systematic review
Introduction Dementias currently impose a significant burden in terms of morbidity, mortality, socio-economic costs, and human suffering. Several studies have indicated that certain infectious diseases may increase the risk of dementia. Additionally, research has suggested […]
¿Cómo afrontamos los desafíos de la Sociedad Española de Neurología? Plan Estratégico de la Sociedad Española de Neurología
Introducción Con el propósito de rediseñar el rol de promover y fomentar el progreso de la neurología y anticiparnos al contexto social, científico, sanitario y económico que nos brinda esta etapa de gran desarrollo de […]
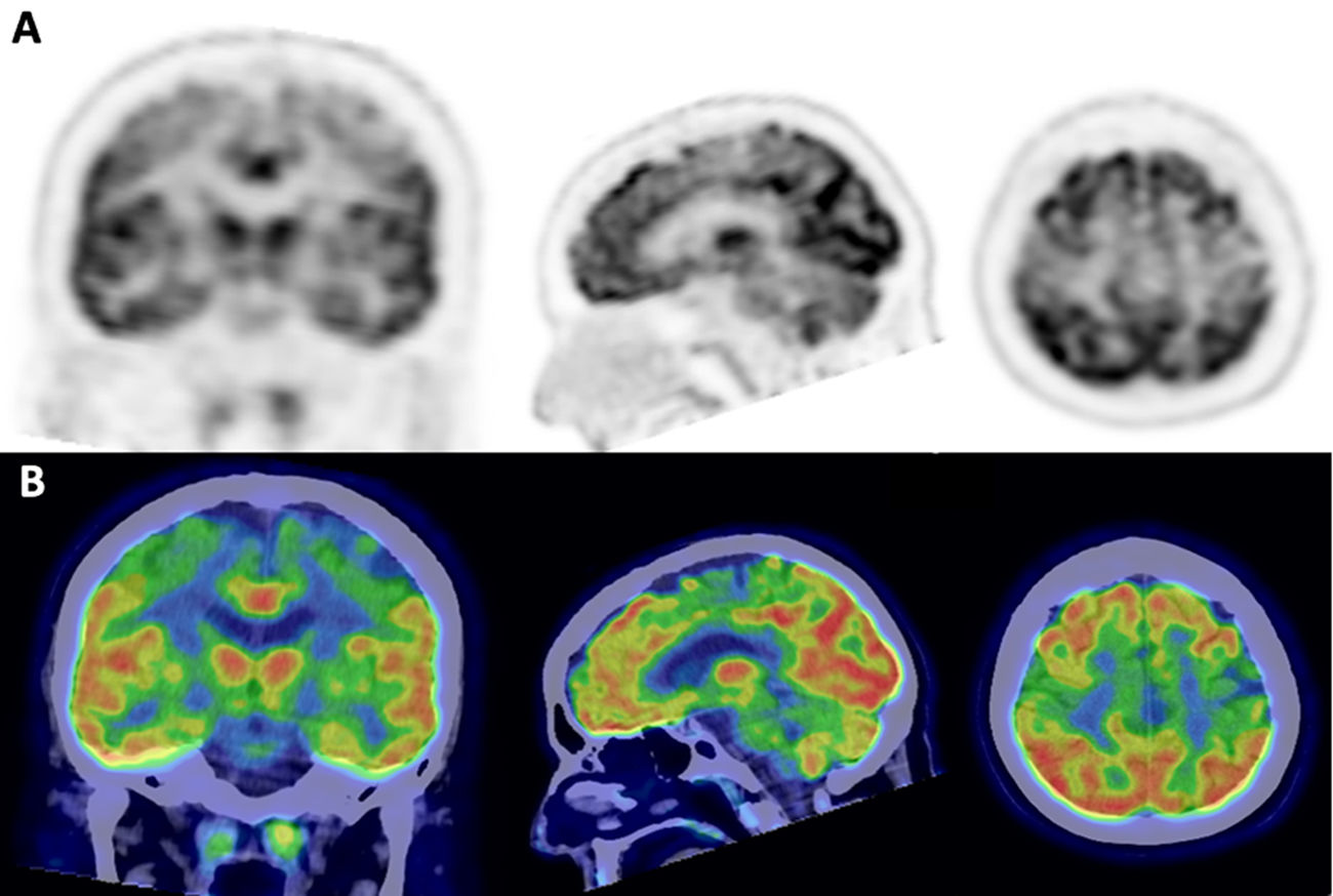
Signo de la banda motora en el PET/TC 18F-FDG cerebral: ¿un biomarcador de enfermedad degenerativa de primera motoneurona? A propósito de 3 casos y revisión de la literatura
Introducción Las enfermedades de motoneurona (EMN) incluyen afecciones como la esclerosis lateral amiotrófica (ELA) y la esclerosis lateral primaria (ELP), caracterizadas por la degeneración progresiva de la primera y/o segunda motoneurona. La identificación de biomarcadores […]
Adaptación transcultural y validación a la población española con daño cerebral adquirido de la Prueba de Sistemas de Evaluación del Equilibrio (BESTest) y sus versiones reducidas (Mini-BESTest y Brief-BESTest)
Introducción Las medidas de evaluación de equilibrio suelen estar validadas en población general o en personas mayores, y escasas veces en población con afectación neurológica. El objetivo de este estudio es la adaptación transcultural y […]
