Vol. 117. Núm. 2. (Febrero 2026)
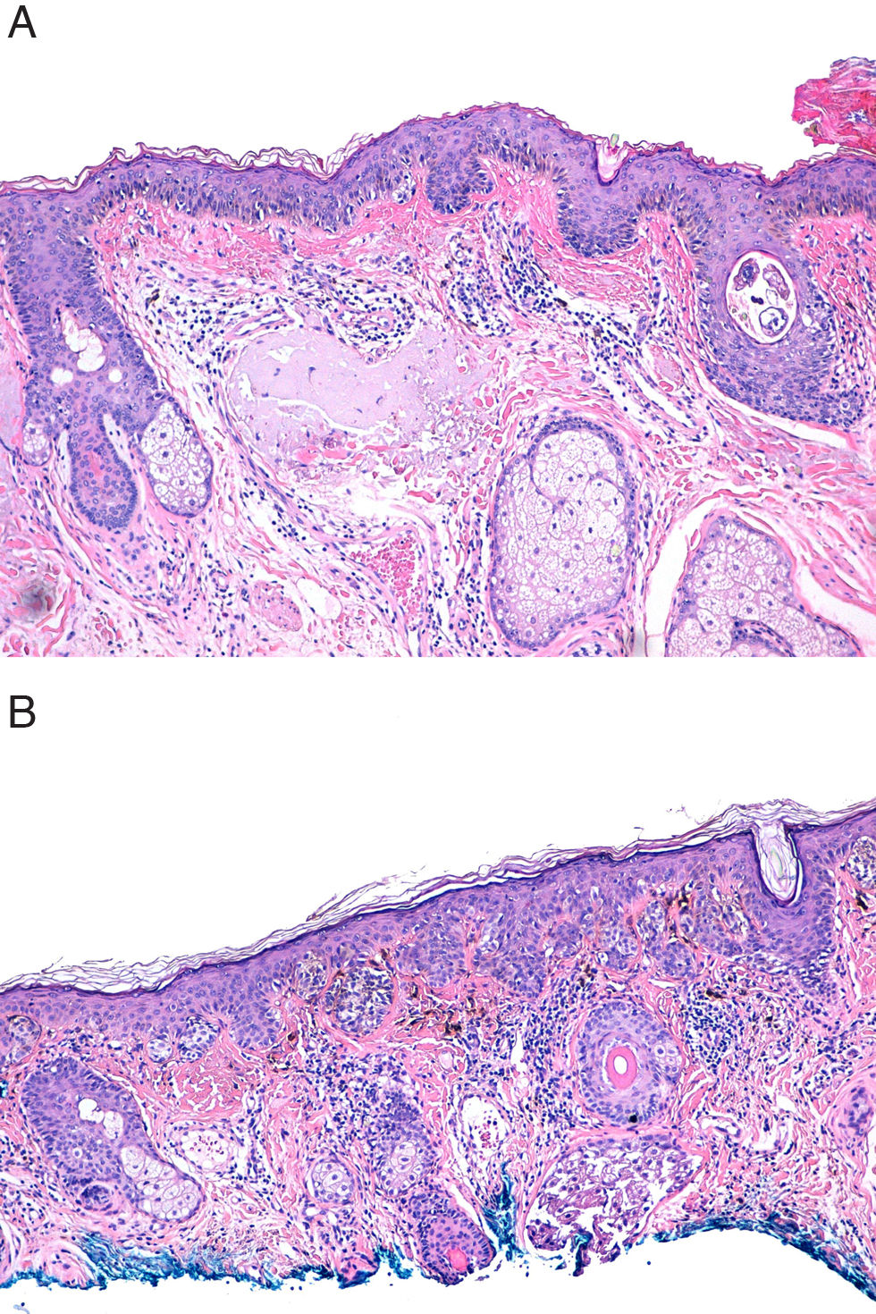
Progressive Verrucous Plaques of the Face
Psychotropic Drugs: A Practical Guide for Use in Dermatology
In the routine clinical practice in dermatology, there is a high burden of psychiatric morbidity due to primary psychiatric disorders that secondarily affect the skin or dermatological disorders that secondarily can have a profound psychosocial […]
A Systematic Review of Treatments for Cutaneous Chronic Graft-versus-Host Disease
Chronic graft-versus-host disease (cGVHD) is a major multiple organ complication of allogeneic hematopoietic stem cell transplantation, and skin involvement is associated with substantial mortality, morbidity and reduction in quality of life. However, more than half […]
Multidisciplinary Delphi Consensus Between Primary Care and Dermatology on Updated Management of Actinic Keratosis in Spain
Actinic keratosis is a skin disease with the potential to progress to cutaneous squamous cell carcinoma, making its treatment essential. However, the last update of the Spanish adaptation of the European clinical guidelines dates back […]
Postauthorization Safety Study (NISSO) Assessing the Long-Term Safety Profile of Sonidegib in Patients With Locally Advanced Basal Cell Carcinoma: Interim Analysis From the Spanish Cohort
Background This study aims to present an interim analysis of safety data from the Spanish cohort of the NISSO post-authorization safety study on the long-term tolerability of sonidegib in patients with locally advanced basal cell […]
Comparison of Nonacral Cutaneous Lentiginous Melanomas According to the Degree of Solar Elastosis: Support for the New World Health Organization Classification
Background and aims The new WHO classification distinguishes two main pathogenic pathways for cutaneous melanoma, low and high-chronic sun damage (CSD). However, there are no studies to support its validity in the category of non-acral […]
Prognostic Differences in Melanoma Between Patients With Locoregional Disease at Initial Diagnosis and Those Who Develop Locoregional Disease After Progression During Follow-Up
Background and aims Stage III cutaneous melanoma affects a heterogeneous group of patients. AJCC staging subdivides stage III according to micro- or macroscopic lymph nodes or in transit/cutaneous locoregional metastasis, without accounting for whether locoregional […]
Mortality Outcomes in Patients With Plaque Psoriasis and Hidradenitis Suppurativa: The Role of Biologic Therapy
Background and objectives Plaque psoriasis (Pso) and hidradenitis suppurativa (HS) are chronic inflammatory diseases associated with multiple comorbidities, including cardiovascular conditions, which may negatively impact survival. The aim of this study was to analyze mortality […]
